Non-Compliance-Geräte
Non-Compliance-Geräte werden ergänzend zur festen Zahnspange eingesetzt und erfordern durch ihre Verankerung im Mund keine Mitarbeit des Patienten (=Non Compliance). Sie stellen eine komfortable Alternative zu den sonst üblichen Geräten dar – beispielsweis zur eher unbeliebten, da sehr auffälligen Außenzahnspange (Headgear).

Die Vorteile:
- Die Behandlung verläuft in der Regel schonend und schnell.
- Die Non-Compliance-Apparaturen sind sehr unauffällig.
- Die Zahnspange kann weder verloren noch vergessen werden.
In unserer Praxis verwenden wir folgende Verfahren:
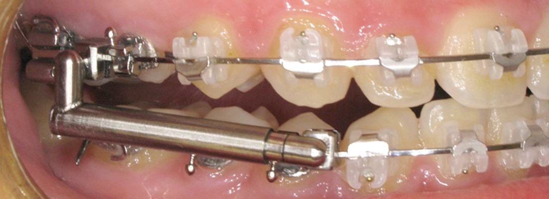
BioBiteCorrector®
Der BioBiteCorrector® (BBC) wird bei einer Rücklage des Unterkiefers (Überbiss) eingesetzt. Dabei wird der Unterkiefer beim Essen oder Sprechen durch die natürliche Kraft der Mundmuskulatur nach vorne bewegt. Im Gegensatz zu Druckfedern (wie z. B. beim Jasper Jumper) verbinden beim BBC zwei Teleskop-Metallstege mit Kugelgelenken den Ober- und Unterkiefer. Auf diese Weise sind sehr präzise und kontrollierte Bewegungen möglich.
Die Vorteile:
- Angenehm zu tragen: Die sogenannte Mehrfach-Teleskop-Technik und Kugelgelenke ermöglichen eine weite Mundöffnung und Seitwärtsbewegungen der Kiefer.
- Biokompatibel: Der BBC ist vollständig aus Titan gefertigt und daher sehr verträglich.
- Unauffällig: Von außen ist der BioBiteCorrector® kaum zu sehen.
- Erleichterte Zahnpflege: Er wird direkt am Behandlungsbogen der festen Zahnspange verankert, sodass auf große Metallbänder um die Backenzähne verzichtet werden kann.
Beneslider
Der Beneslider ist eine festsitzende Apparatur im Oberkiefer und bietet die Möglichkeit, Backenzähne nach hinten zu verschieben, um für engstehende Zähne im vorderen Zahnbogenbereich Platz zu schaffen. Er wird mit Bändern an den Backenzähnen und Mini-Implantaten im Gaumen fixiert − die Kraft für die Zahnbewegung wird über eine verstellbare Druckfeder erzeugt und auf die zu bewegenden Zähne übertragen.
Die Vorteile im Überblick:
- Kein Ziehen gesunder Zähne: Durch die Behebung des Platzmangels kann darauf in aller Regel verzichtet werden.
- Wirkt selbstständig: Da das Gerät fest verankert wird, ist keine Mitarbeit erforderlich.
- Effizient: Oft schnellere Ergebnisse, da der Beneslider permanent auf die Zahnstellung einwirkt.
- Unauffällig: Von außen ist der Beneslider kaum zu sehen.

Beneslider in Kombination mit einer Lingualzahnspange. Wir bedanken uns bei unserer Patientin sehr herzlich für die Erlaubnis zur Veröffentlichung!
Miniimplantate
Miniimplantate sind kleine Stifte aus Titan, die in den Kieferknochen eingesetzt werden, um eine feste Zahnspange zu verankern. Nach der Therapie werden sie wieder entfernt.
Lingual-, Palatinalbogen und Nance-Apparatur
Lingual-, Palatinalbogen und Nance-Apparatur werden fest mit den Zähnen verbunden und dienen dazu, die ersten großen Backenzähne zu fixieren bzw. unabhängig von den anderen Zähnen zu verschieben.
Gaumennahterweiterungsapparatur
Die Gaumennahterweiterungsapparatur ist ein festsitzendes Gerät, das – ergänzend zur festen Zahnspange − zur Verbreiterung eines zu schmalen Oberkiefers eingesetzt wird, indem es Druck auf die Gaumennaht ausübt.
Haben Sie Fragen zu den Behandlungsmöglichkeiten mit Non-Compliance-Geräten? Rufen Sie uns an (06224-76069), wir beraten Sie gern!